Mới đây, các nhà khoa học ở Trường Đại học British Columbia (UBC) đã thành công trong việc in 3D các tế bào tinh hoàn, hứa hẹn một tương lai tươi sáng trong lĩnh vực điều trị chứng vô sinh.
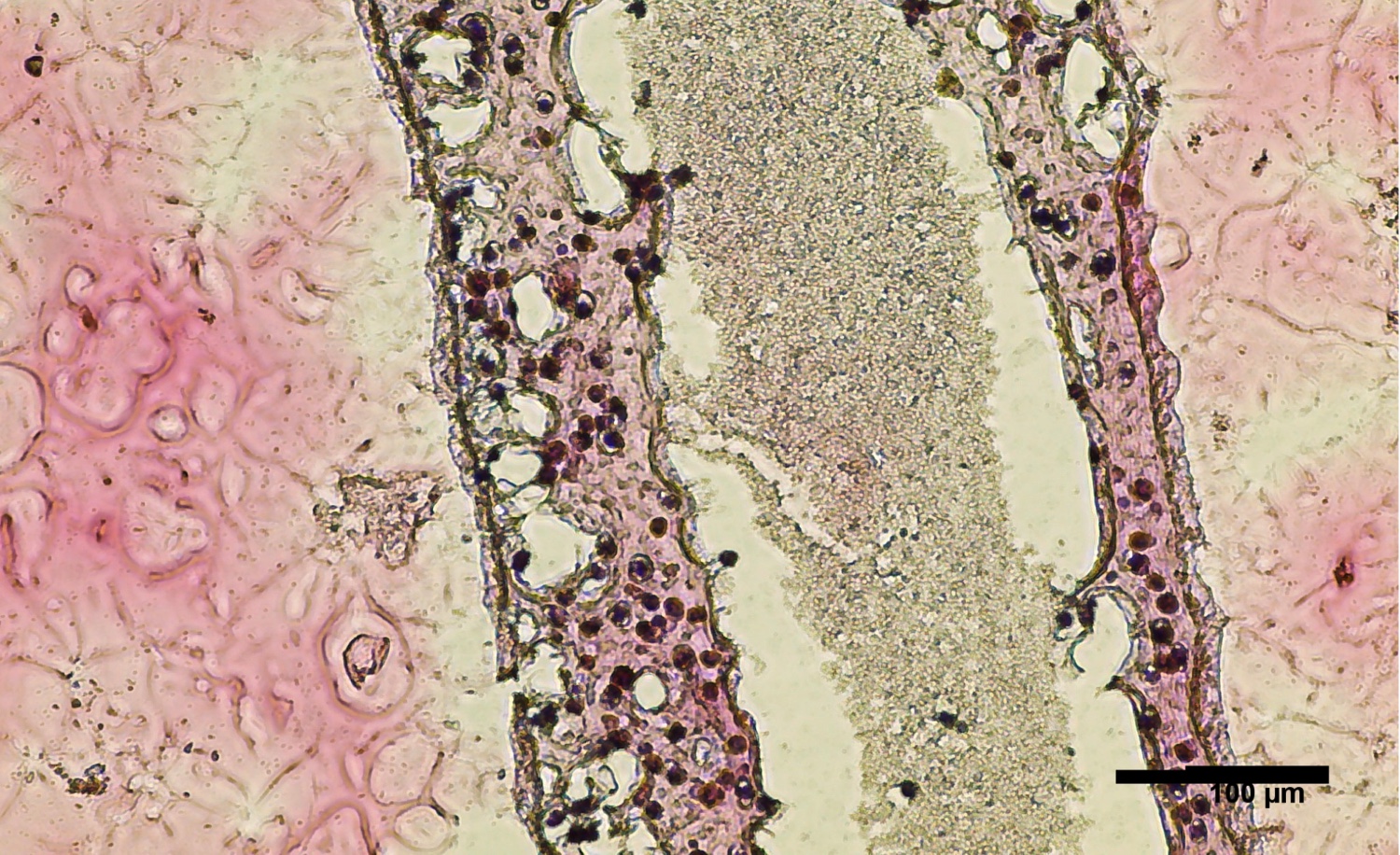
Dự án này đã được xuất bản trên tạp chí Khoa học về Khả năng Sinh sản và Vô sinh (Fertility and Sterility Science) từ hồi tháng 2. Theo đó, các nhà nghiên cứu của trường đại học đã chứng kiến sự sinh sản của các bản sao được in 3D có kích thước như thật của các ống sinh tinh – cấu trúc sản xuất tinh trùng được tìm thấy trong tinh hoàn của con người.
Tiến sĩ Ryan Flannigan, phó giáo sư tiết niệu của UBC, cho biết chứng vô sinh ảnh hưởng tới 15% các cặp vợ chồng ở Mỹ, và nguyên nhân đến từ nam giới chiếm khoảng 50%. “Với sự hỗ trợ từ công nghệ in 3D, một cấu trúc chi tiết giống hệt giải phẫu cơ thể người sẽ giúp các nhà khoa học có cơ hội lớn hơn trong việc thúc đẩy quá trình sản xuất tinh trùng”, ông nói thêm.
Nhóm nghiên cứu đã chiết xuất tế bào gốc từ một bệnh nhân mắc chứng bế tinh, dạng vô sinh nam nghiêm trọng nhất. Với tình trạng này, sẽ không có tinh trùng trong quá trình xuất tinh do các ống dẫn tinh phải vật lộn để sản xuất các tế bào. Mặc dù phẫu thuật để xác định vị trí tinh trùng cũng là một lựa chọn, nhưng tỷ lệ thành công của nó chỉ khoảng 50%.
Tế bào gốc này sau đó được nuôi cấy và in 3D lên đĩa Petri để phát triển thành các ống sinh tinh nhân tạo giống như của con người. Nhóm nghiên cứu đã rất hài lòng khi thấy các ống này đã giữ cho các tế bào sống sót được 12 ngày sau đó.
Trong khoảng thời gian này, các tế bào thậm chí còn phát triển thành các tế bào chuyên biệt hơn liên quan đến sản xuất tinh trùng và duy trì tế bào gốc sinh tinh, hai dấu hiệu sớm cho thấy khả năng sinh tinh.
Tiến sĩ Flannigan chia sẻ rằng mặc dù “còn cả một chặng đường dài phía trước” trong việc tìm ra phương pháp chữa trị thật sự hữu hiệu, nhưng “nếu thành công, dự án này có thể mở ra cánh cửa khác cho các cặp đôi hiếm muộn khi họ không còn lựa chọn nào khác”.
Giai đoạn tiếp theo là “luyện” cho các tế bào in 3D này để chúng thực sự sản xuất tinh trùng. Nếu họ thực hiện được điều này thì cuối cùng các ống sinh tinh nhân tạo cũng có thể giúp thụ tinh với trứng thông qua thụ tinh trong ống nghiệm. Nếu không thì chúng vẫn sẽ giúp các nhà khoa học tiến thêm bước nữa trong việc tìm ra nguồn gốc gây vô sinh và điều trị nó.
Ảnh: UBC































Để lại đánh giá